みどり病院 検査科

みどり病院 検査科

スタッフ
臨床検査技師 8名(内パート2名)
   ※2026年4月1日現在

検査科理念 ◆
“ 私たちは、臨床および患者さまから「信頼される検査科」を目指します ”

患者様の安全と正確で迅速な検査を心がけています。

臨床検査技師は診断や治療に欠かすことの出来ない検査やデータを提供しています。
検査は主に検体検査と生理検査に分かれています。
検体検査では、採血した血液や尿、便などの検体を様々な機器・測定法を用いて解析を行っています。生理検査では実際に患者様と対面し、心電図や超音波(エコー)検査、呼吸機能検査、脈波検査、脳波検査等を行っています。
検査スタッフ一同、信頼あるデータを正確・迅速に提供することを念頭に業務に取り組んでいます。




検体検査の紹介

院内で採用している検査機器と主な検査

生化学検査 (TBA-120FR Pearl Edition:キャノンメディカルシステムズ)

血液や尿などの検体を自動で分析し、さまざまな生化学検査(例:電解質、脂質、肝機能、腎機能など)を高速かつ正確に測定する装置です。

血糖・HbA1c検査(アダムス グルコース GA-1172、アダムス A1c HA-8190V:アークレイ)

糖尿病の状態を知るための装置です。
血糖は、採血したその瞬間の血液中のブドウ糖の量を示します。
HbA1cは、赤血球の中のヘモグロビンに、糖がどれくらい結合しているかを測る検査です。過去1~2ヶ月の血糖の状態を示す指標です。

免疫・感染症検査 (G-1200:富士レビオ)

血液中のホルモン・感染症関連物質・腫瘍マーカーなどを自動で高感度に測定する装置です。

尿定性検査 (イダテン AE-4070:アークレイ)

エコー機器を更新しました。

尿に含まれる成分を自動で測定し、病気の早期発見や健康状態の把握に有用です。
一般的に「尿コップ」に採取していただく検査で、以下の項目を主に判定しています。

血液・凝固検査 (XN-1000、CA620:シスメックス)

自動血球分析装置
血液中の赤血球・白血球・血小板数を計測し、白血球分類やヘモグロビン量なども測定する装置です。貧血、感染症、炎症、血液疾患などの診断に欠かせません。
血液凝固分析装置
血液が固まる仕組み(止血機能)を調べるための検査で、PT・APTTなどの凝固検査を自動で測定する装置です。抗凝固薬(ワルファリン)の管理には欠かせません。

血液ガス分析検査 (348EX RAPIDLab:シーメンス)

動脈血などの少量の血液から”酸素・二酸化炭素・pH”などを短時間で測定し、呼吸状態や代謝状態を即座に把握するための装置です。

POCT検査

エコー(超音波)検査の紹介

超音波診断装置 (Aplio i600、Aplio αVerifia:キャノンメディカルシステムズ)

Canon Aplio i600

Canon Aplio i600

Canon Aplio αVerifia

Canon Aplio αVerifia

超音波検査とは??

超音波検査は、耳に聞こえない高い周波数の音(超音波)を体に当て、その跳ね返りを映像化し体内の様子を観察する検査です。
放射線を使っていないため被曝等はありません。ゼリーを塗って装置(プローブ)を体に当てるだけなので「痛くない」「体への負担が少ない」のが大きな特徴で、小さいお子様から高齢の方、妊婦の方まで安心して検査を受けていただけます。
当院では最新の診断装置を導入し、専門のスタッフが精密な検査を行っています。

当院で検査できる主な部位

ご自身の気になる症状や、健康診断の結果に合わせて各項目をご確認ください。
各項目をcheckして内容をご確認ください。

腹部エコー

分かること:肝臓、膵臓、胆嚢、腎臓、脾臓、消化管、泌尿器系等の腫瘍や結石の有無などを検査します。また、新しい検査機器の導入により肝臓の脂肪のつき具合(脂肪肝)や硬さを数値化出来るようになりました。

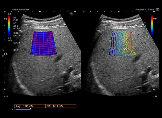
肝疾患の最新検査(ATI・SWE)のご案内

当院では脂肪肝や肝硬変の進行度を客観的な数値で評価できる、最新の超音波解析技術を導入しています。

①ATI(脂肪肝の度合いを測る)
 ※ATI(Attenuation Imaging)は肝臓の「脂肪のたまり具合」を測定する指標です。
今までのエコー検査では医師が画像を見て「白っぽく見えるから脂肪肝ですね」と経験的に主観で判断していました。しかし最新の技術にて脂肪の量を数値(スコア)で表すことが出来ます。
・メリット:前回より数値が下がったなど努力や治療の効果がはっきりと目に見えるようになります。
・こんな方に:健康診断で「脂肪肝」と指摘された方や内臓脂肪が気になる方。

②SWE(肝臓の硬さを測る)
 ※SWE(Shear Wave Elastography)は肝臓の「硬さ」を測定する指標です。
 脂肪肝や肝炎が放置されると肝臓は徐々に硬くなり(線維化)、肝硬変へと進行しさらに悪くなると癌が出現したりします。SWEは超音波の力で肝臓の硬さ(弾力性)を数値化します。
・メリット:以前は肝臓に針を刺して組織をとる検査(肝生検)が必要でしたがSWEならお腹に装置(プローブ)を当てるだけで、痛み無く安全に硬さを調べることが出来ます。
・こんな方に:慢性肝炎(B型・C型)の方、飲酒量が多い方、脂肪肝が長引いている方。
昔より医療は進み脂肪肝は様々な病気の元になることが分かってきました。脂肪肝は放置すると怖い病気です。心当たりがある方は一度医師に相談してみてください。

​心臓エコー

​心臓の形、動き、血液の流れをリアルタイムで観察します。
​わかること:心機能(ポンプの力)、弁膜症(弁の逆流や狭窄)、心肥大など。
​こんな方に: 動悸・息切れ・胸の痛みがある方、血圧が高い方、足のむくみが気になる方。

頸動脈エコー

頸動脈は心臓から脳へ血液を送る大切な通り道です。ここは体の中で最も動脈硬化が進む場所と言われています。首の血管を調べることで、全身の動脈硬化の進み具合や、将来の脳梗塞・心筋梗塞のリスクを予測できます。
こんな方に:高血圧、血糖値が高い、コレステロール値が高いといわれた方。喫煙者、肥満気味、家族に脳梗塞や心臓病がある方。
​ポイント:「血管年齢」を知るための指標として非常に重要です。

甲状腺エコー(首の付け根)

​のどの下辺りにある「甲状腺」の大きさや腫瘍の有無を調べます。
​わかること: 甲状腺の腫れ、しこり(結節)、炎症(バセドウ病や橋本病など)の診断補助。
​こんな方に: 首の腫れが気になる、疲れやすい、急な体重変化がある、健康診断で「甲状腺肥大」を指摘された方。
​ポイント: 数ミリの小さなしこりも見つけることができ、良性か悪性かの判断に非常に役立ちます。

下肢エコー

足の血管の状態を調べ血液の流れが滞っていないかなどを調べます。
 検査でわかること
 静脈:エコノミー症候群の原因となる血栓(血の塊)を調べます
 動脈:足の血管の動脈硬化(閉塞性動脈硬化症)を調べます。
​こんな方に: 足のむくみ、痛み、しびれがある方。急に片足だけが腫れた方。
​ポイント: 足の付け根から足首までを丁寧に観察します。



検査時間と費用の目安

当院での超音波検査では基本的に健康保険が適用されます。
以下の金額は「3割負担」の場合の概算となります。初診料や再診料、他の検査費用は別途加算されますのでご了承ください。

生理検査の紹介

心臓の検査

心臓は微弱な電気を発して、規則正しく動いています。心電図検査は、その電気信号を読み取って心臓の動きを波形として記録し、不整脈や心筋梗塞、心肥大などの兆候がないかを調べるものです。
当院では、症状や目的に合わせて以下の検査を行っています。

安静時心電図

もっとも一般的な心電図検査です。
どんな検査?
手首、足首、および胸の数カ所に電極を貼り、ベッドに横になった状態で数十秒間記録します。
所要時間: 約2〜3分
注意点: 痛みは全くありません。リラックスして受けていただくだけで大丈夫です。
わかること: 検査時点での不整脈、心筋梗塞の既往、心臓の肥大など。

ホルター心電図(24時間心電図)

「病院にいる時は症状が出ない」という方に最適な検査です。
どんな検査?
小型の記録装置を身につけて帰宅していただき、日常生活の中での心拍を24時間丸ごと記録します。
所要時間: 装着に約10〜15分(翌日、機器の返却が必要です)
注意点: 装着したまま普段通りの生活(仕事、散歩、睡眠など)が可能です。
※検査時スタッフが説明いたします。
わかること: 夜間や早朝にのみ起こる不整脈、日常生活の動作に伴う狭心症の有無など。

マスター負荷心電図(階段昇降テスト)

階段の上り下りをして、心臓に負荷をかけた状態の変化を調べます。
どんな検査?
専用の2段の階段を、メトロノームのリズムに合わせて一定時間上り下りします。運動前後の心電図を比較します。
所要時間: 約10〜15分
注意点: 運動しやすい服装・靴でお越しください。膝や足に痛みがある方は事前にお申し出ください。
わかること: 「動いた時に胸が苦しくなる」といった症状(労作性狭心症)の診断に役立ちます。

自律神経機能検査(CVR-R)

 自律神経の機能の乱れなどを検査します。

自律神経機能検査(CVR-R)

自律神経機能検査(CVR-R)

 自律神経の機能の乱れなどを検査します。

お問い合わせ先

みどり病院 検査科担当 吉田まで
〒501-3113 岐阜県岐阜市北山1-14-24
TEL:058-241-0681
FAX:058-241-3728

TOP

MENU